Overview:
Basic Fracture Configurations
Diagnosis:
With any trauma, a complete physical examination is the first step to determine extent of injuries. Depending on the situation and trauma, additional tests such as chest X-rays, abdominal ultrasound, or bloodwork may be recommended to ensure your pet is stable for anesthesia and treatment.
X-rays of the injured area are required to confirm the fracture and determine the best treatment approach. At least two straight views (lateral and cranial/caudal) are necessary for all fractures because a single view can disguise or miss the problem. Pain relief and sedation medications are often needed to obtain accurate X-ray images comfortably and safely.


Elbow Luxation with chip fracture missed on single view
Treatment:
Surgical Management:
Bone Plate + Screws
Bone plates and screws are used most commonly due to their strength and versatility. The plate can be augmented with pins and wires to improve the strength of the construct or to stabilize small fragments.
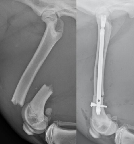
Comminuted femur fracture in a cat
Interlocking Nail
Interlocking nails involve placement of a large metal rod within the bone which is then secured with multiple small bolts. Interlocking nails are particularly strong because they are placed within the center of the bone where they can resist forces most effectively. However, only certain bones can receive an interlocking nail. We also disrupt the normal curvature of the bone which can overstress the implant or affect limb alignment.
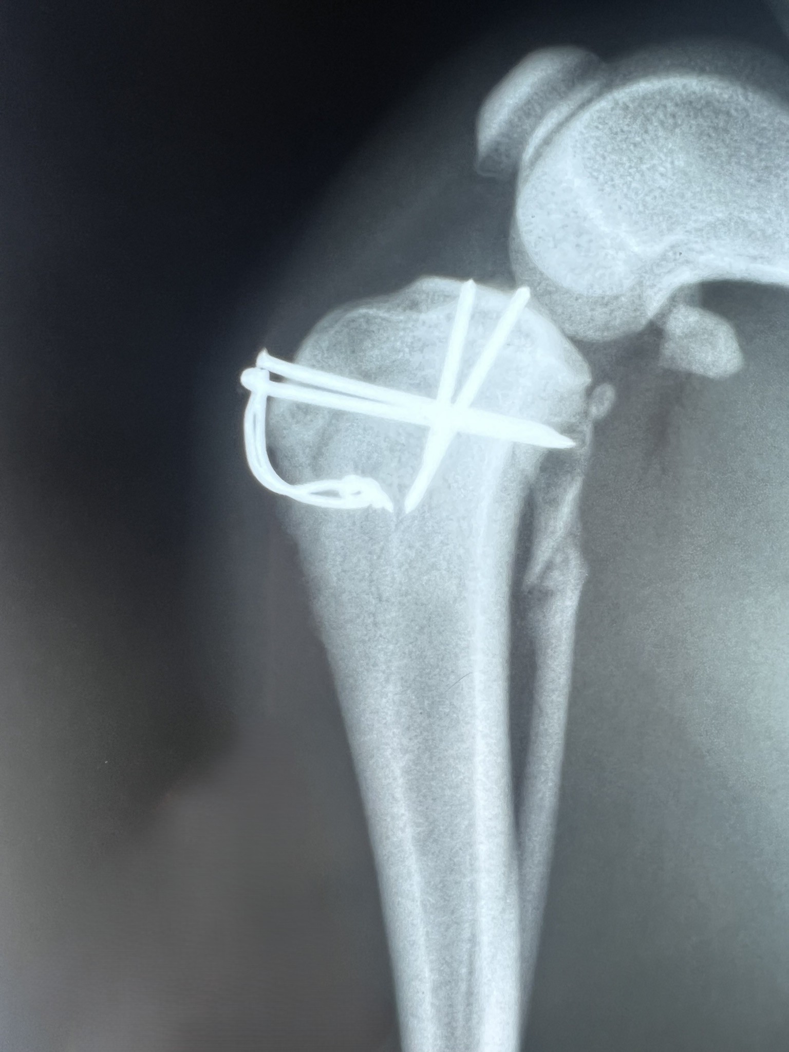
Screws, Pins and Wire
When fragments are very small or near the joint, we are limited to using small implants. These are relatively weak and more prone to failure or loosening. Often a bandage will be used post-operatively to help protect these repairs.
Articular humeral fracture in a puppy
Growth Plate tibial fracture in a puppy
External Skeletal Fixators
ESFs are primarily used if there are open wounds which increases implant infection risk. All implants will ultimately be removed which eliminates this as a long-term issue. ESFs will also be used when patient size limits other implants or the fracture is very near a joint.
ESF configurations
Metacarpal fractures in a cat
Prognosis and Outcome:
With appropriate treatment and careful at-home management, most pets fully recover from fractures and return to normal activity. Mid-bone fractures generally carry an excellent prognosis, while fractures involving joints may result in mild long-term stiffness or arthritis. Diligent postoperative care and adherence to activity restrictions significantly reduce complications and support a successful recovery.














