
Achilles Tendon Rupture
The Achilles tendon, also called the common calcaneal tendon, is made up of five major muscle groups that work together to extend the ankle and allow dogs and cats to have their normal upright ankle position. A rupture may occur suddenly due to trauma or tendon overload or develop gradually over time due to chronic strain and degeneration. Depending on how much of the tendon is damaged, the tear may be partial or complete, most commonly occurring where the tendon attaches to the heel bone.
Clinical signs vary with the severity of the damage. All will show a significant lameness which can be completely non-weight bearing. In early, partial tears the lameness may be mild but should worsen with activity. When the tendon is completely torn, the ankle drops abnormally low with the heel nearly or in contact with the ground.

Diagram for Achille Tendon Rupture
Physical examination reveals thickening or a distinct gap where the tendon is injured. The tendon can be tested by holding the knee extended then trying to flex the ankle. The ankle should flex minimally when the Achilles tendon is intact.
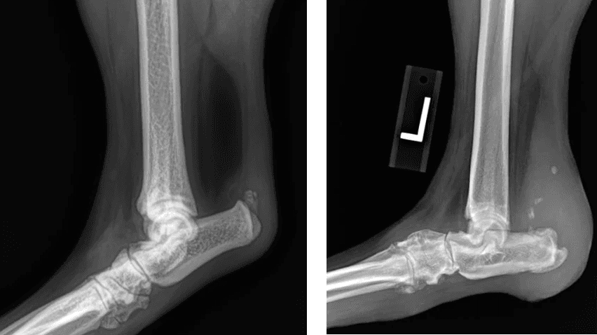
X-rays are recommended to rule out fractures and evaluate surrounding structures, although the diagnosis is often made based on examination findings alone.

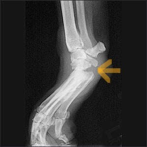
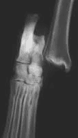
Partial Achilles Rupture

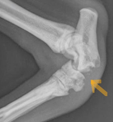
Complete Achilles Rupture

X-ray changes with Partial and Complete Ruptures
Treatment varies based on the severity of the tendon damage. In mild to moderate partial tears, where most of the common tendon is still intact, non-surgical management with custom-made supportive braces is an option. However, with more severe partial or complete tears, surgery is recommended.


Non-Surgical Management with Custom Orthotics
In mild to moderate partial tears, non-surgical management may be sufficient to allow the damaged tendon to heal. This involves injection of platelet-rich plasma into the tendon, followed by a series of shockwave therapy with a rehabilitation service, and placement of a custom-made supportive brace (orthotic) to help limit stress on the tendon during healing. We generally use OrthoPet custom orthotics. The orthotic will initially provide rigid support but will be adjusted to allow more load as the tendon heals. Rehabilitation is extremely important in this option and required for successful healing of the tendon.
Tendon healing is very slow. Orthotic use + rehab will continue consistently for ~6months. However, full return to normal activity may not resume until ~1 year. Tendon healing is always incomplete, meaning ultimate strength of the healed tendon will always be weaker than before the injury. Reinjury is possible and surgical intervention may become necessary with time.
Surgical Management:
Primary Tendon Repair
Tendon reconstruction is recommended universally with complete tendon rupture, severe partial tears, or when conservative management is not feasible or desired. Tendon reconstruction will involve removal of the damaged tendon ends then reattaching them with a series of specialized suture patterns. The repair is protected with a splinted bandage or cast for 6-8 weeks, then an orthotic for another 6-8 weeks. Rehabilitation is extremely important to strengthen the tendon once the cast/splinted bandage is removed.
Tendon healing is very slow. The process will take ~4-6 months with consistent orthotic use and rehabilitation before we reach peak strength. Ultimate strength of the healed tendon will always be weaker than before the injury so reinjury is always possible.


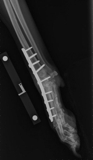
Pantarsal Arthrodesis
This procedure is a complete fusion of the ankle joint where all joint surfaces are removed of cartilage, bone graft filled into these spaces, then the ankle held in a standing angle with a bone plate/screws. Pantarsal Arthrodesis eliminates the need for the Achilles tendon.
It is a more aggressive procedure undertaken when tendon reconstruction has failed or if tendon reconstruction is not desired due to the potential for failure or long recovery time. Initially, the stabilization is protected with a splinted bandage or cast for 6-8 weeks. Exercise restrictions continue for a total of 12-14 weeks to allow complete fusion before return to normal activity.
Recovery time is long regardless of the option chosen and diligent adherence to recommendations are key to a successful outcome.
Very limited long-term outcome data available for non-surgical management with rehabilitation and supportive brace use. Anecdotally, we have found success when the tearing is mild and consistent adherence to the orthotic use and rehabilitation schedule are followed. Long-term use of a supportive brace is recommended during period of high impact activity to limit chance of reinjury. The OrthoPet orthotic can be fabricated initially to facilitate development of a sports brace once healing is complete.
Tendon Reconstruction has a high success rate (>85%) when activity restrictions and rehabilitation recommendations are followed. Functional outcome is very good with near normal function to be expected. Factors that negatively impact outcome are large tendon defects, excessive activity in the immediate postoperative period or premature return to normal activity. All of these lead to excessive tension on the healing tendon, leading to gapping of the tendon repair site and weak healing of the tendon. The repair can then stretch or outright fail. If reconstruction fails, arthrodesis becomes necessary.
Pantarsal arthrodesis has a high success rate of 85-90% of dogs achieving a good functional outcome. However, they all will have a functional limp because they are unable to flex the ankle like normal. Bandage related complications are common and strict home care is extremely important to limit these issues. Bandage related issues predispose to incisional infection (10-20%) which can lead to implant associated infection (<5%). If the implants become infected, it is extremely challenging to eliminate the infection and it slows the fusion process which can lead to implant failure (<1%). However, if no initial complications are encountered, then long-term complications are unlikely.
Hyperextension Injury
The wrist (carpus) and ankle (tarsus) include numerous small bones, each with multiple small ligaments that help to maintain the structure. Hyperextension injuries occur when these small ligaments become damaged resulting in instability of the wrist or ankle, similar to a sprain in people. In mild cases, soft tissue swelling and discomfort with manipulation may be all that is present. However, this damage may be more severe with significant instability and loss of function.

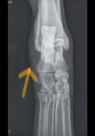
Carpal (Wrist) Hyperextension

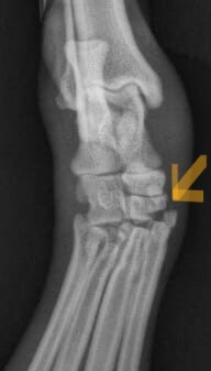
Tarsal (Ankle) Hyperextension
Diagnosis:
Mild cases will have swelling of the affected joint on palpation and discomfort with manipulation. Moderate to severe cases can have a visible loss of the upright carriage of the wrist or ankle with palpable instability. X-rays will show soft tissue swelling around the affected joint. The joints will ‘open up’ when pressure is placed to test the areas of concern. It is very important to identify at what level within the wrist or ankle the damage is present and if there is an associated fracture because this can change what procedure is recommended.


Treatment:
In mild cases that are caught early, non-surgical, conservative management with a custom orthotic and rehabilitation may be sufficient to allow healing of the ligamentous structures. However, these ligaments heal poorly because of how dogs and cats walk. There is a high likelihood that a mild injury will eventually progress and a low likelihood that a moderate to severe injury will heal without surgical intervention. In most hyperextension injuries, a full or partial arthrodesis (fusion) of the ankle is necessary to restore stability.


Non-Surgical Management with Custom Orthotics
In mild cases where minimal to no instability is appreciated and lameness is mild, conservative management can be attempted. Initially a splinted bandage will be applied for 2-3 weeks while awaiting a custom-made splint to be fabricated. The custom splint is then used consistently and rehabilitation begins.
Structured rehabilitation is extremely important to stimulate healing with laser and shockwave therapies and to gradually reload the wrist/ankle. Healing is generally slow, taking 3-4 months before normal activity can resume. However, like with any soft tissue injury, reinjury is possible.
Surgical Management:
Partial Arthrodesis
A partial arthrodesis involves fusion of only some of the wrist or ankle, maintaining some range of motion and function of that wrist or ankle. Injuries that do not involve the tibiotarsal or radiocarpal joints are candidates for a partial arthrodesis. All cartilage between the affected joints are removed then filled with bone graft. A bone plate and screws is typically used to stabilize the bones while they fuse together.




Pancarpal (Wrist)
Arthrodesis
Pancarpal/Pantarsal Arthrodesis
A complete arthrodesis involves fusion of the entire joint, eliminating all range of motion. A complete arthrodesis is necessary when the tibiotarsal or radiocarpal joints are affected. The cartilage is removed between all joints within the wrist or ankle then filled with bone graft. A specialized bone plate and screws are used to stabilize the bones until they fuse completely.
Prognosis and Outcome:
Very limited long-term outcome data available for non-surgical management with rehabilitation and supportive brace use. However, these palmar/plantar ligaments are always under tension because of how dogs and cats walk. It is difficult to get these structures to heal completely and they will always be weaker than before. Re-injury is a major concern long-term so if signs are failing to improve or recur, then surgical intervention is necessary.
Recovery following a partial or complete arthrodesis are similar. For the first 6-8 weeks, the surgery will be protected by a splinted bandage which will need to be changed every 10-14 days. Bandage sores are common which can predispose to infection, so it is very important to limit activity and keep the bandage clean/dry. X-rays will be rechecked at 8 and 12 weeks postop to assess fusion. Activity will be limited until the 12 week recheck x-rays in most cases then gradually returned to normal. The most common complications are bandage related (up to 30-40%), incisional infection (up to 10-15%), implant infection (<5%), and implant failure (<1%). Most complications are mild and can be treated medically. However, minor complications can lead to major complications, so it is best to adhere strictly to bandage care and exercise restrictions to limit the risk.
Partial arthrodesis can return to full-function and normal activity with minimal visible asymmetry to their gait once the fusion is complete. Complete Arthrodesis will always have a visible asymmetry to the gait because they are unable to flex or extend the treated joint. However, the lameness is without pain many can return to normal activity but at a reduced level.
Collateral Ligament Injury
Collateral ligaments are key stabilizers located in nearly every major joint of the forelimbs and hindlimbs. Injury to these ligaments occurs when excess force stretches or tears the fibers, resulting in joint instability and discomfort.
Mild injuries may present as localized swelling and pain when the joint is manipulated. More significant injuries can lead to obvious instability, inability to bear weight, and loss of normal limb function.


Diagnosis:
Diagnosis is based on physical examination and x-ray changes.
On physical exam, there will be swelling and pain around the affected joint. In mild cases, instability is minimal. Moderate to severe cases have palpable instability and may be minimally weight bearing.
X-rays will demonstrate the soft tissue swelling. The instability can also be demonstrated with stressed views. In severe cases, a complete luxation may be present.
A thorough evaluation of adjacent structures is very important because additional injuries, such as fractures, are common.



Treatment:
In mild cases that are caught early, non-surgical, conservative management with a custom orthotic and rehabilitation may be sufficient to allow healing of the ligamentous structures. However, these ligaments heal slowly and weaker than before so reinjury is possible. Moderate to severe injuries are unlikely to heal without surgical intervention.


Non-Surgical Management
In mild cases where minimal to no instability is appreciated and lameness is mild, conservative management can be attempted. Initially a splinted bandage will be applied for 2-3 weeks while awaiting a custom-made splint to be fabricated. The custom splint is then used consistently and rehabilitation begins. Structured rehabilitation is extremely important to stimulate healing with laser and shockwave therapies and to gradually reload the wrist/ankle. Healing is generally slow, taking 3-4 months before normal activity can resume. However, like with any soft tissue injury, reinjury is possible.
Surgical Management:
Ligament Reconstruction
Reconstruction involves repairing the damaged ligament or replacing it with a prosthetic ligament. This is ideal and recommended in most cases because we recreate the normal anatomy which leads to the best functional outcome.
The repair will need to be protected for several weeks post-op with a splinted bandage. Once the bandage is removed, then rehabilitation begins but exercise is restricted for 8-12 weeks to allow adequate healing.


Arthrodesis
Arthrodesis is a salvage procedure where the affected joint is fused, either partially or completely depending on the site of injury. Arthrodesis is reserved for when reconstruction fails or severe injuries to other structures limits our ability to adequately reconstruct. Cartilage is removed from all affected joints. The joints are packed with bone graft then the bones are secured with a bone plate and screws while they fuse. The repair will need to be protected for 8 weeks with a splinted bandage. X-rays are rechecked at 8 and 12 weeks to assess fusion. Activity is restricted for 12-16 weeks to allow complete fusion.



Pancarpal
(Wrist) Arthrodesis

Partial Carpal
(Wrist) Arthrodesis
Prognosis and Outcome:
Mild injuries can heal and signs may completely resolve with appropriate care and time. However, the structures that were damaged rarely heal to the original strength and are at risk of reinjury. If signs recur, then a surgical intervention may be necessary.
Following reconstruction, most dogs (90%) will return to normal activity. Some degree of arthritis should be expected in the affected joint long-term. Rehabilitation can help to strengthen the healing ligament and improve mobility in the joint. The most common major complications are implant infection (<3%) and repair failure (<5%) which can be limited with appropriate postoperative management and activity restrictions.
Following arthrodesis, all dogs will have a noticeable asymmetry to their gait because they are unable to flex/extend the affected joint. However, most dogs (85-90%) will have a good functional outcome. The most common complications are bandage related (30-40%) and can be mild. However, the bandage related complications can predispose to incision infection (10-15%) which can lead to implant infection (<5%) and implant failure (<1%). Minor complications can lead to major complications, so it is best to adhere strictly to bandage care and exercise restrictions to limit the risk.




